Lenda do surfe, Kelly Slater revela conviver há cinco anos com escoliose
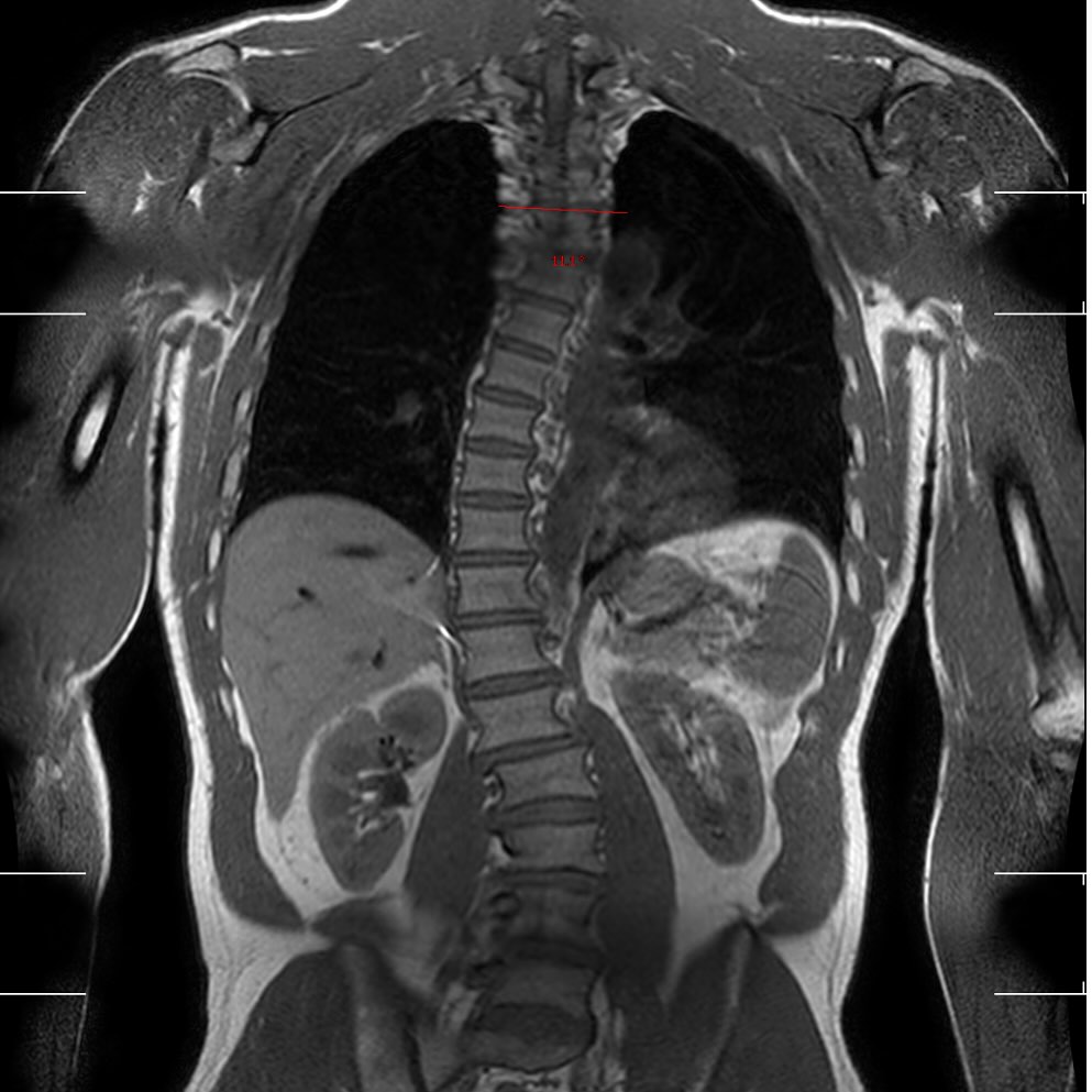
Ele já conquistou onze vezes o campeonato mundial de surfe, o que lhe deu o título de “Lenda do Surfe”. Atualmente com 53 anos de idade, Kelly Slater compartilhou em seu perfil no Instagram imagens de uma tomografia que mostra sua coluna vertebral com o diagnóstico de escoliose, situação com a qual ele convive há cinco anos.
“Minha escoliose (...) é um problema sério. Mostrar minha coluna parece super pessoal, pois é uma loucura ver a curvatura com a qual lidei todos esses anos, mas acho importante que as pessoas saibam que todos nós lidamos com doenças físicas e podemos encontrar maneiras de minimizar seus impactos”, disse Slater na publicação.
O que é e quais os riscos dessa condição para a saúde?
A escoliose consiste em uma curvatura lateral anômala da coluna vertebral. Popularmente é conhecida como “coluna em S”, devido ao formato da curva.
Nos pacientes com escoliose pode haver uma alteração do alinhamento dos ombros e quadris. Nas mulheres, pode haver, ainda, uma assimetria nas mamas. Outros sintomas, incluem: presença de gibosidade (saliências) nas costas; cabeça não centralizada; escápula mais alta e possivelmente mais proeminente de um lado; espaços alterados entre os braços e o tronco; e um lado do quadril mais proeminente que o outro.
De acordo com a Organização Mundial da Saúde (OMS), a escoliose acomete cerca de 2% da população mundial. No Brasil, há mais de seis milhões de pessoas com esse diagnóstico, segundo dados de 2023.
O problema costuma se desenvolver entre os 10 e os 15 anos de idade, ocorrendo igualmente em ambos os sexos. Contudo, as mulheres têm oito veze mais probabilidade de progredir com agravamento da curvatura.
Segundo a Fundação Nacional para a Escoliose, dos Estados Unidos, as causas de 85% dos casos são desconhecidas. Entre os fatores conhecidos estão os congênitos (defeitos de nascimento afetando as vértebras), as condições neuromusculares, ligadas a doenças neurológicas como a paralisia cerebral e a distrofia muscular e, por fim, a escoliose degenerativa que está associada ao envelhecimento e ao desgaste dos discos da coluna.
O diagnóstico depende de avaliação e exames médicos, como raio-X e tomografia, a fim de possibilitar o tratamento para a correção e controle do desvio, o que vai depender da gravidade do problema.

